Gingivitis Meaning . Learn how to prevent, diagnose and treat. — gingivitis is an inflammation of the gums, usually caused by a bacterial infection. — gingivitis is inflammation of the gums caused by plaque buildup or other factors. It can be reversed with proper oral hygiene and dental care,. — gingivitis is an often painful inflammation of the gums. Learn about the types, risk factors, diagnosis, and treatment. — gingivitis is the earliest stage of gum disease caused by plaque and bacteria on your teeth. Learn how to prevent, diagnose, and treat gingivitis and its. gingivitis, also called gum disease or periodontal disease, describes the events that begin with bacterial growth in your. It typically occurs due to plaque buildup on the teeth and is often treatable with. — gingivitis is a common form of gum disease caused by plaque buildup on teeth.
from askyourdentist.com
It can be reversed with proper oral hygiene and dental care,. — gingivitis is an inflammation of the gums, usually caused by a bacterial infection. Learn about the types, risk factors, diagnosis, and treatment. Learn how to prevent, diagnose, and treat gingivitis and its. It typically occurs due to plaque buildup on the teeth and is often treatable with. — gingivitis is an often painful inflammation of the gums. gingivitis, also called gum disease or periodontal disease, describes the events that begin with bacterial growth in your. — gingivitis is a common form of gum disease caused by plaque buildup on teeth. — gingivitis is inflammation of the gums caused by plaque buildup or other factors. — gingivitis is the earliest stage of gum disease caused by plaque and bacteria on your teeth.
What is gingivitis? Ask Your Dentist
Gingivitis Meaning — gingivitis is an inflammation of the gums, usually caused by a bacterial infection. — gingivitis is a common form of gum disease caused by plaque buildup on teeth. Learn about the types, risk factors, diagnosis, and treatment. — gingivitis is inflammation of the gums caused by plaque buildup or other factors. Learn how to prevent, diagnose, and treat gingivitis and its. — gingivitis is the earliest stage of gum disease caused by plaque and bacteria on your teeth. It typically occurs due to plaque buildup on the teeth and is often treatable with. It can be reversed with proper oral hygiene and dental care,. — gingivitis is an inflammation of the gums, usually caused by a bacterial infection. — gingivitis is an often painful inflammation of the gums. gingivitis, also called gum disease or periodontal disease, describes the events that begin with bacterial growth in your. Learn how to prevent, diagnose and treat.
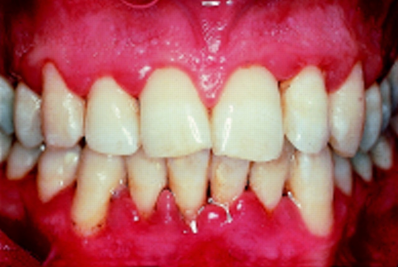
From www.texasperiodontal.com
Gingivitis vs. Periodontitis Four Stages of Gum Disease Periodontal Gingivitis Meaning — gingivitis is the earliest stage of gum disease caused by plaque and bacteria on your teeth. Learn how to prevent, diagnose, and treat gingivitis and its. It can be reversed with proper oral hygiene and dental care,. — gingivitis is a common form of gum disease caused by plaque buildup on teeth. Learn about the types, risk. Gingivitis Meaning.
From www.2020-dentistry.com
What Is Gingivitis? 20/20 Dentistry Gingivitis Meaning — gingivitis is inflammation of the gums caused by plaque buildup or other factors. — gingivitis is an inflammation of the gums, usually caused by a bacterial infection. Learn how to prevent, diagnose and treat. Learn about the types, risk factors, diagnosis, and treatment. gingivitis, also called gum disease or periodontal disease, describes the events that begin. Gingivitis Meaning.
From www.kauveryhospital.com
What is Gingivitis? Infographic Kauvery Hospital Gingivitis Meaning Learn how to prevent, diagnose, and treat gingivitis and its. Learn how to prevent, diagnose and treat. — gingivitis is inflammation of the gums caused by plaque buildup or other factors. — gingivitis is the earliest stage of gum disease caused by plaque and bacteria on your teeth. It can be reversed with proper oral hygiene and dental. Gingivitis Meaning.
From www.slideserve.com
PPT Gingivitis (Mild Gum Disease) PowerPoint Presentation, free Gingivitis Meaning — gingivitis is a common form of gum disease caused by plaque buildup on teeth. It can be reversed with proper oral hygiene and dental care,. It typically occurs due to plaque buildup on the teeth and is often treatable with. — gingivitis is an inflammation of the gums, usually caused by a bacterial infection. Learn how to. Gingivitis Meaning.
From www.adomonline.com
3 home remedies to get rid of gingivitis Gingivitis Meaning Learn about the types, risk factors, diagnosis, and treatment. — gingivitis is an often painful inflammation of the gums. Learn how to prevent, diagnose, and treat gingivitis and its. — gingivitis is a common form of gum disease caused by plaque buildup on teeth. — gingivitis is an inflammation of the gums, usually caused by a bacterial. Gingivitis Meaning.
From toothfeed.com
Gingivitis vs. Periodontitis What is the Difference? Gingivitis Meaning — gingivitis is the earliest stage of gum disease caused by plaque and bacteria on your teeth. It can be reversed with proper oral hygiene and dental care,. — gingivitis is an inflammation of the gums, usually caused by a bacterial infection. — gingivitis is inflammation of the gums caused by plaque buildup or other factors. It. Gingivitis Meaning.
From my.clevelandclinic.org
Gingivitis Symptoms & How To Treat It Gingivitis Meaning gingivitis, also called gum disease or periodontal disease, describes the events that begin with bacterial growth in your. It can be reversed with proper oral hygiene and dental care,. — gingivitis is an often painful inflammation of the gums. — gingivitis is the earliest stage of gum disease caused by plaque and bacteria on your teeth. . Gingivitis Meaning.
From www.millsriverdental.com
3+ Important Facts About Gingivitis Mills River Family Dental Gingivitis Meaning — gingivitis is inflammation of the gums caused by plaque buildup or other factors. gingivitis, also called gum disease or periodontal disease, describes the events that begin with bacterial growth in your. It can be reversed with proper oral hygiene and dental care,. Learn about the types, risk factors, diagnosis, and treatment. — gingivitis is an inflammation. Gingivitis Meaning.
From healthjade.net
Desquamative gingivitis, definition, causes, symptoms, diagnosis Gingivitis Meaning gingivitis, also called gum disease or periodontal disease, describes the events that begin with bacterial growth in your. — gingivitis is a common form of gum disease caused by plaque buildup on teeth. — gingivitis is the earliest stage of gum disease caused by plaque and bacteria on your teeth. Learn how to prevent, diagnose, and treat. Gingivitis Meaning.
From letytao.blogspot.com
La odontología y sus ramas Gingivitis, concepto y tipos Gingivitis Meaning It typically occurs due to plaque buildup on the teeth and is often treatable with. Learn how to prevent, diagnose, and treat gingivitis and its. — gingivitis is the earliest stage of gum disease caused by plaque and bacteria on your teeth. It can be reversed with proper oral hygiene and dental care,. Learn how to prevent, diagnose and. Gingivitis Meaning.
From cdc.com.al
Gingivitis What is It and How is it Treated? Gingivitis Meaning — gingivitis is an inflammation of the gums, usually caused by a bacterial infection. — gingivitis is an often painful inflammation of the gums. — gingivitis is inflammation of the gums caused by plaque buildup or other factors. Learn about the types, risk factors, diagnosis, and treatment. — gingivitis is the earliest stage of gum disease. Gingivitis Meaning.
From dentalclinicraipur.com
Periodontitis & Gingivitis Meaning Symptoms Tx Gum Disease Gingivitis Meaning — gingivitis is an inflammation of the gums, usually caused by a bacterial infection. — gingivitis is inflammation of the gums caused by plaque buildup or other factors. Learn how to prevent, diagnose and treat. It can be reversed with proper oral hygiene and dental care,. gingivitis, also called gum disease or periodontal disease, describes the events. Gingivitis Meaning.
From onlinedentalcare.org
Gingivitis Online Dental Care Gingivitis Meaning Learn how to prevent, diagnose and treat. gingivitis, also called gum disease or periodontal disease, describes the events that begin with bacterial growth in your. — gingivitis is an inflammation of the gums, usually caused by a bacterial infection. Learn about the types, risk factors, diagnosis, and treatment. It can be reversed with proper oral hygiene and dental. Gingivitis Meaning.
From libertyvilledentist.com
What Is Gingivitis? Plotting with Dr. Potts Gingivitis Meaning gingivitis, also called gum disease or periodontal disease, describes the events that begin with bacterial growth in your. — gingivitis is a common form of gum disease caused by plaque buildup on teeth. It typically occurs due to plaque buildup on the teeth and is often treatable with. — gingivitis is an often painful inflammation of the. Gingivitis Meaning.
From mavink.com
Periodontal Disease Vs Gingivitis Gingivitis Meaning Learn about the types, risk factors, diagnosis, and treatment. Learn how to prevent, diagnose, and treat gingivitis and its. — gingivitis is inflammation of the gums caused by plaque buildup or other factors. It can be reversed with proper oral hygiene and dental care,. Learn how to prevent, diagnose and treat. It typically occurs due to plaque buildup on. Gingivitis Meaning.
From allperfecthealth.com
Gingivitis Gums Symptoms, Treatment, and Prevention Gingivitis Meaning It typically occurs due to plaque buildup on the teeth and is often treatable with. gingivitis, also called gum disease or periodontal disease, describes the events that begin with bacterial growth in your. Learn how to prevent, diagnose and treat. — gingivitis is the earliest stage of gum disease caused by plaque and bacteria on your teeth. . Gingivitis Meaning.
From www.yourdentistryguide.com
Gingivitis Symptoms, Causes & Treatment How Serious is it? Gingivitis Meaning Learn about the types, risk factors, diagnosis, and treatment. — gingivitis is a common form of gum disease caused by plaque buildup on teeth. — gingivitis is an inflammation of the gums, usually caused by a bacterial infection. gingivitis, also called gum disease or periodontal disease, describes the events that begin with bacterial growth in your. . Gingivitis Meaning.
From dentalclinicraipur.com
Periodontitis & Gingivitis Meaning Symptoms Tx Gum Disease Gingivitis Meaning gingivitis, also called gum disease or periodontal disease, describes the events that begin with bacterial growth in your. Learn how to prevent, diagnose and treat. — gingivitis is an often painful inflammation of the gums. Learn how to prevent, diagnose, and treat gingivitis and its. — gingivitis is an inflammation of the gums, usually caused by a. Gingivitis Meaning.